0 of 300 Questions completed
Questions:
You have already completed the test before. Hence you can not start it again.
Test is loading…
You must sign in or sign up to start the test.
You must first complete the following:
0 of 300 Questions answered correctly
Your time:
Time has elapsed
You have reached 0 of 0 point(s), (0)
Earned Point(s): 0 of 0, (0)
0 Essay(s) Pending (Possible Point(s): 0)
A plasma that turns lipaemic on standing will most likely have the following features except
Pre-operative preparations include all except
Typhoid perforation; true except
A neonate with pyogenic meningitis is likely
According to classification of VVf based on size which is true
Rovsing sign
in splenic injury
Mark the most appropriate single statement on maxillary fractures
occupational lung disease
environmental factors responsible for development of alcoholism include
In fetal circulation
A patient who has attended one antenatal clinic, has done investigations but has not been reviewed by a qualified medical personnel is a
Use of gellhorn pessary is relevant in the management of
A 26-year-old woman comes to the office with fatigue. She also complains of light-headedness and paresthesias in her hands and feet. On examination, her vital signs are normal, but you note pallor and glossitis. Laboratory evaluation reveals a hemoglobin of 9.8 g/dL (L) and an MCV of 102 fL (H). Which of the following would be most likely to treat her condition?
Snakes with a pit between the nose and eyes belong to:
The renin-angiotensin-aldosterone system regulates blood pressure and volume homeostasis and is activated by

Which of these is not a pelvic signs seen in pregnancy:

The commonest organism for the diagnosis above is;

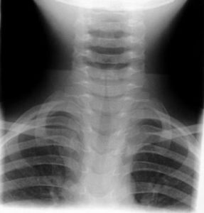
Identify
Sign of left ventricular failure include
Immediate operative treatment is indicated in patients who have
Typhoid fever; all are true expect
The following is false of Neisseria meningitides
All these are risk factor for VVF except
Psaos sign
Acute intestinal obstruction
which of the following is not a content of popliteal fossa
Asbestosis is
An acromegalic can present in the following clinic except
A syndrome seen in pre-eclampsia called HELLP syndrome is characterized by all of the following EXCEPT:
Extraction of the fetus from the uterus through any route
A relevant investigation that can be done in a woman of 22 weeks gestational age of pregnancy with suspected cervical incompetence is all except
An HIV-positive patient presents to discuss his current HIV therapy. His viral load is increasing and his CD4 count is falling. While obtaining his blood sample, your medical assistant sustained a needle stick injury. What is the best course of action in this situation?
Effects of cobra envenoming include except:
Which of the following acts by blocking the calcium channel

Regarding this malignancy shown, which is false:

Regarding the skin test above all are true except:

A patient presents with a pigmented papule that is 0.5 centimeters in diameter and dimples when lateral digital pressure is applied. What is the most likely diagnosis?
Concerning malaria infection
Concerning pre-operative preparation
Typhoid fever there is usually all except
All these are characteristic of simple febrile convulsion except
Some aetiology factors for VVF
Hamburger sign
Gallstone
which of the following is not a tocolytics
in cardiac catheterization, one is correct
concerning Wilson disease, which is wrong
Birbeck granules are more prominently seen in what layer of the skin
Preterm labour usually occurs
A 60-year old man with history of ischemic heart disease experienced chest pain after climbing a flight of stairs. A drug effective in quickly relieving an acute attack of angina is
You are caring for a type 2 diabetic whose measures of control have been worsening despite maximal doses of oral medications. You are considering adding insulin therapy to help with her post-prandial hyperglycemia and want to start a preparation with a rapid onset of action. Which of the following insulin types has the most rapid onset of action?
Perhaps the most effective drug to use in haemorrhagic shock, if tissue perfusion remains inadequate in spite of adequate fluid therapy, is:
Fagets sign (sphygmothermic dissociation) characterized by fever with bradycardia is typically seen in all except

The most likely cause of the diagnosis is:

About viral hepatitis:

Which is the Largest diameter
Concerning mother to child transmission of HIV
An 80yrs old obese lady with DM and HTN called you around 8; 00pm on phone seeking your opinion that she missed her morning dose of metformin, glibenclamide, pioglitazone, methyl dopa, phenytoin and valsartan. Which of the following will be your response?
Regarding early breast cancer which is not correct
Complex febrile seizure include
A patient with a repair of VVF has been draining an average of 3L of urine per day till the 4th post operative day when urine suddenly stopped draining into the bag. The most probably cause of this is:
Types of emergency contraceptives
which is false? Extraperitoneal bladder rupture causes urine to gravitate into the
modifiable risk factor for coronary artery disease include
The following are dihydropyridine calcium channel blockers
causes of hepatocellular carcinoma include the following except
Polyhedral keratinocytes are active in synthesizing
A true labour is all except
A 12-year old boy presents with migratory polyarthritis and chest pain. He gives a history of sore throat 3 weeks prior to this condition. The most useful investigation in this case will be
Through counselling and education, you have convinced a 35-year-old man with dyslipidaemia to quit smoking. If he remains a non-smoker, how would you expect his lipid prole to change?
A patient who is having blood transfusion for the first time complains of fullness in the head, dyspnoea, constricting pain in the chest and fever.
The most likely clinical diagnosis is:

What is the most likely diagnosis of the picture

Regarding your diagnosis which is false:

The main manifestation of vertically transmitted HIV infection are all except
A 50yr old man present with increased thirst and hunger of 3month duration, he also has weight loss, polyuria and blurred vision. His random blood sugar was 360mg/dl. Which of the following is not a chronic complication of his disease
Which is true concerning carcinoma of the breast
Dose of IV diazepam
Which of these drug does not cause haematuria
Non contraceptive benefits of the COCPs include all except
which is false? Retention of urine
Nosocomial infections include all except
the following clinical signs are seen in cor pulmonale
When the uterus protrudes well beyond the introitus, in a case of uterine prolapse, the prolapse is called which of the following:
Malpighian layer describes which of these skin layers as a unit
In grading of hepatic encephalopathy, severe confusion and responsiveness to verbal stimuli is typical for
A fall in right ventricular output can result in congestion and edema in many organs. In addition, edema is primarily due to
A 21-year-old woman presents with an annular pruritic rash on her neck. She explains that the rash has been present for the past 3 weeks and that her roommate had a similar rash not long ago. Physical examination is remarkable for a 20-mm scaling, erythematous plaque with a serpiginous border. Which of the following is the most appropriate initial treatment for this condition?
A man of 45 involved in a R.T.A. suffered a transient loss of consciousness. He drove home, but later in the evening he complained of headaches and on his way to hospital became rather drowsy. The casualty officer noted a right parietal tenderness with some oedema and his right pupil which was marginally larger reacted poorly to light.
The most likely clinical diagnosis is:

Which of the age groups are most at risk for having the fracture type shown in this picture

Concerning this picture which is incorrect

All can be contracted by the above except
Laboratory evidence of vertically transmitted HIV infection in children includes all expect
A 52yr old known patient with type 2 DM presents at the clinic with persistent blood pressure recordings above 140/90mmhg which of the following drug classes should be included as part of her anti-hypertensive drugs)
i) Calcium channel blockers
ii) Angiotensin converting enzyme inhibitor
iii) Diuretics
iv) Angiotensin receptor blockers
v) Beta blockers
Which is false in patient with lump to the breast
Main inhibitory neurotransmitter is
Haematuria is least likely to occur in
The following contraceptives contain only a progestogen as the hormonal ingredient
Halothane is metabolised in the body by as much as
Which is not correct?
The following factors are implicated in aetiology of primary hypertension
An Obese 63-years old women present with a 3 month history of continuous scanty bleeding. Adequate history and physical examination what is your recommendation?
Epidermal layers of the palm are
A common complication of tuberculosis is all except:
An ECG of a patient with crushing chest pain shows ST segment elevation in leads II, III and avF. The part of the heart most likely to be affected by the pathological process is
A 21-year-old woman who is 12 weeks pregnant with her first child presents to your office. A urinalysis shows evidence of bacteriuria. She is completely asymptomatic. Appropriate management at this time includes which one of the following?
Mediators released after burns include except:

Regarding a boy that presented with these pathognomic feature, which is true:

Regarding the picture above, all are false except:

All are true except:
The following sign is wrongly matched
50 yr. known diabetic with poor control was refer to the neurological clinic on complain of persistent burning pain in both feet. Examination reveals impaired sensations in stocking distribution in both legs. Patient most likely has
Considering the aetiology of breast ca which is false
Risk factors for febrile convulsion are all except
Obstructive lower urinary symptom include all of the following except
Symptoms and signs of the onset of labour is
One of these statements is wrong
Which is not a typical features of septic shock
The following statement are TRUE of hypertension

What fracture type is identified in the radiograph:
Melanocytes are commonly seen in which of these skin layers
2nd stage of labour:
Mother brought her 2 years old child to the ER with history of upper respiratory tract infection for the last 3 days with mild respiratory distress. This evening the child started to have hard barking cough with respiratory distress. On examination: rr 40/min, associated with nasal flaring, suprasternal & intercostal recessions. What is the most likely diagnosis?
Which of the following medications is associated with an increased risk of endometrial carcinoma?
The organism(s) found consistently in the oedematous stage of cancrumoris is/are:

Which of these is true:

Regarding the histology results all are false except:

All are false except:
According to NYHA class II heart failure is defined as
Concerning childhood malaria which is false
The best index of how well an individual’s diabetes has been controlled over a period of 3 months is
Considering the management of breast cancer which is true
Regarding febrile convulsion
Lower urinary tract obstruction could be due to
Uterine contraction in labour are true except
one of these is benign
Which is not true
in management of snake bite, which is correct
Accurate diagnosis of Hydatiform mole can be made by
Netherton syndrome is due to an inability to modulate:
Signs of placenta separation includes:
What is the fetal portion of the placenta formed from
On routine physical examination, a 28-year-old woman is found to have a thyroid nodule. She denies pain, hoarseness, hemoptysis, or local symptoms. Serum TSH is normal. Which of the following is the best next step in evaluation?
The most frequently encountered symptom (Hall mark) of thyrotoxicosis is:

Which of these is false:

Concerning the picture above all are true except:

All are true regarding the picture below except:
All this are major Framingham’s criteria except
Commonest transmission of malaria includes
In hyperkalaemia all occur except
Which is false regarding jaundice
Children with sickle-cell anaemia
All these are irritative symptom of BOO
False about fetal monitoring in labour
Which of the following is false? Risk factors for urinary stones
Botulism is
Luteinizing hormone is
In complete Hydatiform mole:
Wiskott-Aldrich syndrome has what mode of inheritance
Regarding severe dehydration, the following are true except
What is the single most important risk factor for cerebral palsy in Nigeria?
A young man of 25 presents with a painless, firm round ulcer on the glans of the penis which develops two weeks after sexual intercourse. He has no systemic symptoms. He is mostly likely to be suffering from
The most significant clinical feature of Tetralogy of Fallot is:

A patient with a typical complaint of bone pain and walking difficulty with this leg lesion:

Regarding the picture, what is the gold standard investigation for the condition above?

Regarding the causes of anterior neck swelling all are true expect:
Minor Framingham’s criteria are
A 30 yrs. old lady with fever (temp 37.8c) complained to you about her been allergic to sulphonamides. Blood film showed 3+ p. Falciparum tropozoites. Which of the following drug is contra indicated in her?
Hypocalcaemia can be caused by all except
Causes of liver failure include all except
Vaso-Occlusive Crisis management include
All this are treatment option for BPH except
The third stage of labour
Concerning MRI, one of these is correct
One is correct about Tetanus
The following is true as regards testosterone
What is the most frequent site for metastasis from a malignant gestational trophoblastic neoplasms:
Which of the following is not a typical reservoir for the monkeypox virus
Regarding hyperkalemia
Which of the following is not contained within the anal triangle
You are caring for a 27-year-old woman complaining of pelvic pain. She reports localized pain on the left side that has increased in severity over the last 2 days. She also reports nausea. On examination, you note a tender adnexal mass on the left. Which of the following is the most likely cause?
Which of the following chemical substances/poisons are mismatched with their antidotes:

Which of these is incorrect about the ECG shown:

The following are all true except:

Which is not associated with this picture?
Common cause of heart failure are all except
50yrs old trader who had a febrile episode was diagnosed as having malaria and upper respiratory tract infection at the general output clinic about 4days. For his treatment he was given artesunate, fansider, vitamine c, paracetamol and erythromycin. He suddenly discovered an initial exanthematous eruption, which progressed into widespread blisters with mucosal infection. What is the likely diagnosis?
Concerning fluid and electrolyte balance
In acute hepatitis which is true
Concerning neonatal jaundice
An 60 yr old retired civil servant, known HTN with HTN heart disease present to your clinic with worsen peripheral edema, diminishing urine output, breathlessness and progressively worsening azotaemia. His serum creatinine is 15mg/dl and urea 245mg/dl. Ultrasound shows shrunken kidneys. He is also told by physician that he has CKD stage 5 The appropriate form of renal replacement therapy in the patient is
The following are acceptable method for confirmation of ovulation
in the investigation of a patient with acute abdomen, one of these radiological requests is not appropriate
in massive pulmonary embolism, which is incorrect
Growth hormone, which is incorrect
If you find that a 25 –year- old patient with amenorrhea of 18 weeks duration had an elevated serum hCG, and absent fetal heart & movement and uterine size 28 weeks which of the following would be the most likely diagnosis ?
Which of these toxicosis conditions will not produce hyperthyroidism
Regarding crystalloids, all are true except:
Most common cause of precocious puberty in girls is;
You are caring for a 51-year-old man complaining of neck pain for several weeks. He denies injury or illness. The pain is aggravated by movement, worse after activities, and there is a dull ache in the interscapular region. His examination reveals a limited range of motion, no tenderness to palpation, no radiation, and no neurologic signs. Which of the following is the most likely diagnosis?
Which of the following is a relevant cause of normal anion gap

Regarding the picture shown:

Concerning the above picture, all are false except:

Identify:
Left ventricular hypertrophy can be seen on ECG by
Causes of Steven Johnson syndrome include all except
Impending shock can be treated by the following intravenous fluid except
Concerning keloids which is false
Prolonged neonatal jaundice is a recognised feature of infant with
A 25yr old patient was diagnosed of end stage renal failure, her younger brother age 20yrs has suggested to donate a kidney. Investigation shows that they are one haplotype match the white cell cross match test was positive. Which of the following statement is correct
Tubal patency may properly be demonstrated by
Concerning endoscopic retrograde pancreatography, one of these statements is not correct
Pulmonary embolism signs include all of the followings except
Kallmann’s syndrome is characterized by
Choriocarcinomas can occur:
In primary thyrotoxicosis:
Typical findings in iron deficiency anemia:
Which syndrome is associated with coarctation of the aorta?
Which of the following conditions is associated with congenital cataracts?
The lungs and liver do not function fully until after birth and hence certain bypass mechanism exist to divert bloodstream

Specific treatment plan for the pathology shown:

Regarding the picture above, all are true except:

This mosquito transmit all these except
A 50yrs old female present with shortness of breath and palpitation which has been ongoing for the pass few hours. She has ankle swelling which has been present for more than a year and feels difficulty in breathing while lying down. She is a known alcoholic, chest radiography shows evidence of heart enlargement, what’s the most likely cause of her worsening condition
A visiting medical doctor from Finland to Nigeria was found to have a very high fever. He had arrived Nigeria three days earlier and was immediately posted to work in the oil fields in the Niger delta. On examination he had an oral temperature of 40c, a Glasgow scale of eight, a pulse rate of 112/min and BP 90/60 mmHg. The following are likely to be false of this patient.
In hyperkalaemia all are true except
Which is true about keloids
Complication of phototherapy are all except
concerning chronic renal failure, what is false
In male infertility
which of these organisms has not been implicated in acute epididymo-orchitis
A 23year old Fulani woman presented to the gopd with nasal obstruction. Epistaxis and deformed noose. There were cavities on her chest x-ray. The most likely diagnosis is
Normal growth can be affected by the following except
Apgar’s score includes all the followings EXCEPT:
Fetal heart rate is best heard:
Regarding maternal mortality, which is false
A 4-year-old girl complains of vaginal itching, especially at night when she is going to bed. The most likely diagnosis is
A Monteggia fracture is:
Concerning the great saphenous vein which is one of the blood vessels of the lower limbs:

All are true except:

What is your diagnosis?

Which is False Concerning the clinical feature shown
A 52year old man present with increased breathlessness at rest he is currently talking furosemide which he finds gives him some relief. His medical history is significant for DM. on examination bilateral pedal edema and bibasal crepitation”s are noted. what is the single most appropriate next step in management
The following are important factors promoting the resurgence of malaria except
In routine immunization in Nigeria one of the following is not indicated
Which is not among the clinical triad of meningitis
All these are factors for physiological jaundice except
Indication for dialysis
These are true about maternal mortality
Internal fixation of fracture is contraindicated in which of these
which is false about Giant cell arteritis

What is the most likely diagnosis of the picture
Physiological changes in the reproductive system include:
One of these is not a componenet of fetal biophysical profile:
In uteroplacental apoplexy
How much daily maintenance fluid replacement is required in a 25 kg patient?
The neoplastic diseases linked to the HIV/AIDS status are except;
The right atrium of the heart shows some distinctive features that are not seen in the left atrium. Which of the following is a unique feature of this chamber of the heart?

Which of the listed is not a relevant obstetric indication for the device shown:

All are true regarding the picture except;

On the 2 nd day of life, the following is most likely causes of the condition shown
A 79yrs old man diagnosed of class IV heart failure present with yellow eyes, nausea and vomiting. His ECG show arrhythmias which of the following medication is responsible for his symptoms
In the current treatment of malaria, which treatment options are recommended by the world health organisation?
Immunization against poliomyelitis, which of this is correct
Meningitis is the inflammation of leptomeninges which consist of
According to WHO, Sperm count shouldn’t be less than:
The following are clinical indication for dialysis
Maternal mortality and morbidity
Most often open reduction of fracture is required in
In a comatose patient all are false except
Risk factors for pigment stone include
The normal development sequence of puberty is:
Bone marrow staining for iron and cellular morphology is done commonly using:
Vaccine contra-indicated in pregnancy is
Repetitive variable decelerations noted on fetal heart tracings suggest
The ideal suture material should be expected to except;
Acetylcholine which causes vasodilation is mediated by

Concerning the contraceptive device shown, which is false:

This are all true except;

About the picture, which is false
”HEART FRIENDLY” dietary items include
Preoperative investigations include
Typhoid fever is transmitted by
All are causes of sterile CSF pleocytitis
The commonest cause of VVF in developing countries is
Pointing sign
Causes of maternal mortality are all except
Commonest complication while using external fixator is
COMA, which is incorrect
Indicators of air pollution exclude
Anti-D prophylaxis
The largest lobe of the liver:
Regarding prostate cancer:
A 43-year-old obese patient comes to your office with a painful, inflamed, swollen elbow. He reports that the pain began suddenly last evening, without a known precipitant or trauma. The pain is exquisite, and does not allow him to move his elbow at all—in fact, even the pressure of his bed sheet on his elbow was painful. On examination, he has an elbow effusion with warmth, erythema, and intense pain with movement. Which of the following is most likely the cause?
Which of the suture materials is(are) absorbable.
The Frank-Starling curve which relates stroke volume and preload shifts upward and to the left when there is a decrease in

This appearance is commonly seen in these states except:

Regarding the X-ray below all are true except;

Which is incorrect?

Only accepting 10 people total
Only people who sign up for Mastery Bootcamp will have access to my Bonus #1, 2 that are never for sale or available anywhere else other than through this program.
