0 of 30 Questions completed
Questions:
You have already completed the test before. Hence you can not start it again.
Test is loading…
You must sign in or sign up to start the test.
You must first complete the following:
0 of 30 Questions answered correctly
Your time:
Time has elapsed
You have reached 0 of 0 point(s), (0)
Earned Point(s): 0 of 0, (0)
0 Essay(s) Pending (Possible Point(s): 0)

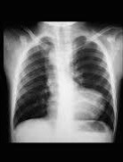
X-ray feature shown

Diagnosis:

X-ray feature shown

Feature seen

What is your diagnosis

Diagnosis:

What is your diagnosis

Diagnosis:

Diagnosis

Feature seen

One is a Causes

The following are false except;

X-ray feature shown

Regarding the X-ray shown below

Diagnosis

Radiological investigation in a 12hr old newborn

What is the most likely diagnosis

A 60 years old patients X-ray. What is not a likely finding?

Diagnosis

Identify

Features shown

What is true about the image?

What sign is shown

A 45 years old patients X-ray. What is not a likely finding?

Possible Diagnosis:

Common causes of this are?

What sign is shown

What is your most specific diagnosis?

Possible Diagnosis:

Diagnosis:

Only accepting 10 people total
Only people who sign up for Mastery Bootcamp will have access to my Bonus #1, 2 that are never for sale or available anywhere else other than through this program.
