0 of 30 Questions completed
Questions:
You have already completed the test before. Hence you can not start it again.
Test is loading…
You must sign in or sign up to start the test.
You must first complete the following:
0 of 30 Questions answered correctly
Your time:
Time has elapsed
You have reached 0 of 0 point(s), (0)
Earned Point(s): 0 of 0, (0)
0 Essay(s) Pending (Possible Point(s): 0)

Which of the following is NOT a treatment technique employed in the management?

Which of the following is not an associated cardiac anomaly?

Features seen?

Which of the following best fits the method of treatment of the lesion shown:

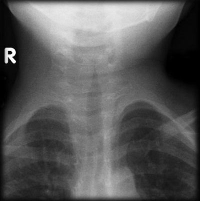
Radiograph of a 10 yr old boy who presented with shortness of breath which had become progressively worse over 48hrs. Which is true

This sign is typical for

What is the possible diagnosis

What is this?

Features seen?

What is your diagnosis

What is the possible diagnosis

Features seen exclude:

What is the possible diagnosis

Features seen

The radiological finding shown is typically seen in what condition:

Features seen

What radiological finding is shown in this x-ray picture:

Diagnosis

In the management of this condition, which of these is not used as an initial therapy

Diagnosis

One of these is not Xray finding seen in this condition:

What x-ray Feature is shown

1.Specific x-ray signs that indicates this patient’s condition include all except

What is your diagnosis

Which is wrong about this picture?

Classical feature seen on this X-ray

What is the possible diagnosis

Features seen

Which is wrong about this picture?

Features seen exclude:

Only accepting 10 people total
Only people who sign up for Mastery Bootcamp will have access to my Bonus #1, 2 that are never for sale or available anywhere else other than through this program.
