0 of 50 Questions completed
Questions:
You have already completed the test before. Hence you can not start it again.
Test is loading…
You must sign in or sign up to start the test.
You must first complete the following:
0 of 50 Questions answered correctly
Your time:
Time has elapsed
You have reached 0 of 0 point(s), (0)
Earned Point(s): 0 of 0, (0)
0 Essay(s) Pending (Possible Point(s): 0)

What type of impaction is evident, and what complication may arise during extraction?

This image shows a child with a swollen cheek and difficulty opening their mouth. What imaging test would be most appropriate for diagnosing a possible mandibular fracture in this case?

Identify the mandibular fracture type shown, and what is the potential complication related to this fracture?

Identify the complication in the image, and what preventive measures can be taken?

Which nerve block technique is demonstrated in the image, and what area does it anesthetize?

What type of mandibular fracture is evident, and what structure is most likely injured?

What condition is evident in the image, and what is the appropriate management?

This image shows a person with misaligned teeth after a healed mandibular fracture. What potential complication is depicted?

Identify the mandibular fracture type in the image, and what is the recommended treatment approach?

Which tooth is impacted, and what complication is likely associated with its extraction?

This image shows a person eating mashed potatoes after a mandibular fracture. What dietary advice is most important for patients during the healing process?

Identify the mandibular fracture type, and what complication is often associated with this injury?

This image shows a needle being injected near the gum tissue. What kind of anesthetic is being used?

Identify the anesthesia technique shown, and which dental procedure is it commonly used for?

What type of mandibular fracture is illustrated, and what additional diagnostic tool may be helpful in evaluating this fracture?

This image shows a mask placed over a patient’s nose and mouth. What type of anesthesia is likely being administered?

What general anesthesia method is depicted in the image, and when is it typically employed?

Identify the mandibular fracture type, and what functional issue may arise due to this injury?

What anatomical landmark is the dentist using the mouth mirror to visualize in this image

This image shows a technique used for local anesthesia in dentistry. What is it called?

Identify the nerve block technique displayed, and for which region is it administered?

Identify the type of mandibular fracture shown in the image, and what dental structure is at risk?

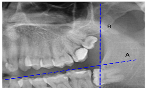
This radiograph shows a mandibular third molar (wisdom tooth) that is impacted. What is the most likely reason for its impaction?

Identify the nerve block technique in the image, and what area does it primarily anesthetize?

Which topical anesthetic form is shown, and how is it usually applied in dentistry?

The image is a panoramic radiograph showing a mandibular fracture. What type of fracture is most likely depicted, and what treatment approach would be appropriate?

This X-ray shows a mandibular third molar (wisdom tooth) angled mesially. What is the most likely reason for this impaction?

Identify the instrument used to grasp and remove teeth in this image:

What type of sedation is illustrated in the image, and for which patient population is it most suitable?

What is the main purpose of using a periosteal elevator during tooth extraction?

What sedation technique is shown in the image, and when might it be contraindicated in dental practice?

Identify the anesthesia technique demonstrated, and what area does it primarily anesthetize?

Which tooth is impacted in the image, and what is the recommended treatment?

Which topical anesthetic technique is demonstrated, and where is it commonly applied in dentistry?

What is the anesthesia method shown in the image, and when is it typically used in dentistry?

What type of impaction is shown in the image, and what surgical technique is suitable?

This radiograph shows a fracture of the mandibular condyle. What type of occlusion is most likely affected by this injury?

Which general anesthesia method is depicted, and what is a potential advantage of using this technique?

Identify the condition in the image and the associated complication.

This image shows a clinical technique used for stabilizing a mandibular fracture. What is it called?

Identify the type of mandibular fracture shown in the image and its most likely cause.

Which type of impaction is evident, and what technique is appropriate for extraction?

This image shows a person with their mouth wired shut. Which treatment method is most likely being used in this case?

What type of mandibular fracture is evident, and which nerve is at risk in this scenario?

What radiographic feature is seen, and what does it indicate about the impacted tooth?

This image shows a swollen face with bruising concentrated around the jawline. What clinical sign is most likely associated with a mandibular fracture in this case?

Identify the type of mandibular fracture in the image and the associated complication.

Which tooth is impacted, and what is the recommended treatment?

This image shows a device used for non-surgical stabilization of mandibular fractures. What is it called?

Which mandibular fracture type is illustrated, and what important anatomical structure should be assessed for injury?

Only accepting 10 people total
Only people who sign up for Mastery Bootcamp will have access to my Bonus #1, 2 that are never for sale or available anywhere else other than through this program.
