0 of 47 Questions completed
Questions:
You have already completed the test before. Hence you can not start it again.
Test is loading…
You must sign in or sign up to start the test.
You must first complete the following:
0 of 47 Questions answered correctly
Your time:
Time has elapsed
You have reached 0 of 0 point(s), (0)
Earned Point(s): 0 of 0, (0)
0 Essay(s) Pending (Possible Point(s): 0)

A patient with sudden-onset severe facial pain, proptosis, and limited eye movement. What complication of maxillary sinusitis should be suspected, and what is the urgent management approach?

Imagine a patient with an open bite. What type of mandibular fracture is suspected, and what is the appropriate treatment?

This is a sagittal view of the skull. What structure separates the mandible from the temporal bone, forming the TMJ?

A patient presenting with a unilateral nasal discharge, headache, and facial pain. What dental condition may be related to these symptoms, and what is a potential complication?

A radiograph showing a fracture line running through the mandibular body. What potential complication should be evaluated, and what intervention is needed?

This dental instrument is used for removing infected pulp tissue. What is it called?

A patient with maxillary sinus pressure and toothache. What dental condition should be considered, and what imaging modality is suitable for evaluating the maxillary sinus?

The picture shows a patient with an inability to close the mouth properly. What type of fracture is likely, and what intervention is necessary?

A patient with diffuse facial swelling, fever, and difficulty in swallowing. What odontogenic infection may be considered, and what is the critical aspect of management in such cases?

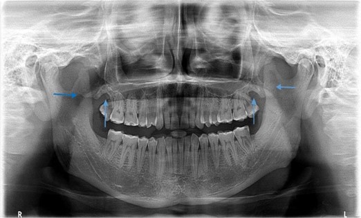
A patient with unilateral facial pain and tenderness over the TMJ. What is the likely diagnosis, and what diagnostic test may be helpful in confirming the condition?

A panoramic radiograph showing a fracture involving the mandibular angle. What potential complication should be assessed, and what intervention is needed?

A clinical photograph showing swelling, redness, and pus drainage from the gums around a partially erupted third molar. What odontogenic infection is likely, and what is the appropriate management?

A patient with a history of bruxism and facial pain. What conservative treatment approach is commonly recommended for managing TMJ disorders associated with bruxism?

The image shows a patient with difficulty in speaking and chewing. What type of fracture is suspected, and what intervention is appropriate?

A clinical photograph showing an ulcerated area on the gingiva with a necrotic appearance. What odontogenic infection is suspected, and what additional diagnostic test may be helpful?

A patient presenting with pain and clicking sounds during jaw movement. What is the likely diagnosis, and what imaging modality is commonly used for evaluation?

A patient with an asymmetrical face and deviation of the mandible. What type of fracture is likely, and what intervention is necessary?

A periapical radiograph showing a radiolucent area around the apex of a tooth. What odontogenic infection is likely present, and what is the common causative organism?

Image of a panoramic radiograph. What condition may be suspected if an air-fluid level is observed within the maxillary sinus?

This X-ray shows a cloud-like image within the maxillary sinus. What does this most likely indicate?

A panoramic radiograph showing radiolucency extending from the tooth apex into the surrounding bone. What type of odontogenic infection is likely, and what may be needed for definitive treatment?

CT scan of the paranasal sinuses. What bony structure separates the maxillary sinus from the ethmoid sinus?

This image shows a person with facial pain radiating to the cheek and upper teeth. What condition is most likely causing this pain?

A patient with facial swelling extending into the submandibular region, accompanied by trismus. What odontogenic infection is likely, and what is the appropriate initial management?

What anatomical feature allows for drainage of the maxillary sinus into the nasal cavity?

This image shows a person opening their mouth wide with difficulty. What TMJ symptom is most likely depicted?

This image shows a person with a swollen face and fever. What potential complication of an odontogenic infection could be causing these symptoms?

Cross-sectional image of the maxillary sinus. What structure separates the maxillary sinus from the oral cavity?

This image shows a device worn on the upper and lower teeth. What is this device used for, and how can it relate to TMJ and maxillary sinus issues?

This image shows a child with pus draining from a swollen gum flap around an erupting tooth. What odontogenic infection is most likely depicted?

This is an image of a panoramic radiograph. What radiopaque structure is indicative of the maxillary sinus, and where is it typically located?

Which imaging technique is most commonly used to visualize the anatomy of the TMJ and surrounding structures?

This X-ray reveals a dark area at the tip of a tooth root. What does this most likely indicate?

Question: Visualize a lateral view of the skull. What muscle is responsible for the movement of the mandible at the TMJ?

This surgical instrument is used in a procedure for severe maxillary sinusitis. What is it called?

This image shows a swollen, red gum around a decayed tooth. What type of odontogenic infection is most likely present?

This is a coronal view of the skull. What anatomical feature connects the mandible to the temporal bone in the TMJ?

What potential complication of untreated TMJ disorders can lead to long-term jaw pain and dysfunction?

A panoramic radiograph showing radiolucency within the maxillary sinus. What could be a potential finding, and what further evaluation is needed?

This is a lateral cephalogram showing a displaced condylar fracture. What is the preferred treatment option for this type of fracture?

This dietary advice is commonly recommended for managing TMJ pain. What food group should be limited?

A patient with a persistent clicking sound during jaw movement and difficulty in opening the mouth. What is the likely diagnosis, and what non-surgical treatment option may be considered?

The image shows an intraoral periapical (IOPA) radiograph revealing a fracture involving the alveolar process. What is the potential complication, and what intervention is necessary?

What relaxation technique can be helpful for managing stress-related TMJ symptoms?

A patient with jaw pain and a history of trauma. What condition may be suspected, and what diagnostic method is valuable for evaluating fractures within the TMJ region?

around the jawline. What is the likely diagnosis, and what imaging modality would help confirm the fracture?

Which early warning sign after treatment for a maxillary sinus infection should prompt immediate medical attention?

Only accepting 10 people total
Only people who sign up for Mastery Bootcamp will have access to my Bonus #1, 2 that are never for sale or available anywhere else other than through this program.
