0 of 50 Questions completed
Questions:
You have already completed the test before. Hence you can not start it again.
Test is loading…
You must sign in or sign up to start the test.
You must first complete the following:
0 of 50 Questions answered correctly
Your time:
Time has elapsed
You have reached 0 of 0 point(s), (0)
Earned Point(s): 0 of 0, (0)
0 Essay(s) Pending (Possible Point(s): 0)

Choose the correct option

About this condition

About this condition

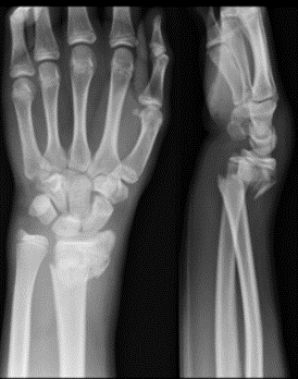
What is the diagnosis?

This baby is at risk of the following except?

What is the most likely diagnosis seen in this picture?

Which of the following is not a cause?

Which is false?

Identify

Identify

Identify

A 4yr old with this swelling. It is likely to be?

All are possible complications except

Which is true?

Identify;

Which of the following is not true of the image?

About this condition

All is true except

Community prevention of this condition does not include

About this condition

This is typically seen in

Which of the following is an indication?

Identify the procedure

Concerning the picture shown here, the most likely diagnosis in the patient is

Which of the following cannot be diagnosed from the picture?

About this condition

The placenta shown in the picture below shows which of the following?

The most likely indication for this procedure

About this man

This 25 years old patient presents with fever and weight loss. The most likely diagnosis is

What is the mode of transmission?

Identify

Which of the following is true of the above?

This condition presents with all of the following except

This woman is predisposed to the following hazards except

Identify

This is a problem of

What is false

A woman presents with suprapubic pain, painful urination, and hematuria. She reported that she went swimming a few weeks ago. What is the cause of her presentation?

What is the mechanism of this device?

Regarding this condition

The above cytology result is pathognomonic for

Which of the following is not a health complication of this situation?

Which of the following is not required for use?

Which of the following is not an indication for use

This above is a form of?

Identify

What is the diagnosis?

Causes of the above exclude

This is a problem of

Only accepting 10 people total
Only people who sign up for Mastery Bootcamp will have access to my Bonus #1, 2 that are never for sale or available anywhere else other than through this program.
