0 of 48 Questions completed
Questions:
You have already completed the test before. Hence you can not start it again.
Test is loading…
You must sign in or sign up to start the test.
You must first complete the following:
0 of 48 Questions answered correctly
Your time:
Time has elapsed
You have reached 0 of 0 point(s), (0)
Earned Point(s): 0 of 0, (0)
0 Essay(s) Pending (Possible Point(s): 0)

In the image, what orthodontic device is shown creating space between crowded teeth?

In the image below, what is the primary purpose of the dental procedure being performed?


Which dental filling material is shown in the image?

What is the purpose of the orthodontic power chain seen in the image below?

What term is associated with the image below, where a dentist is filling and sealing the cleaned root canals during an endodontic procedure?

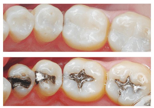
Identify the type of dental filling based on the image below:

What is the term for the final phase of orthodontic treatment, as indicated in the image, where a patient wears a device to maintain the corrected tooth positions?

During endodontic therapy, what diagnostic imaging technique is frequently used to visualize the internal structures of the tooth?

What type of dental filling is commonly used for restoring cavities in primary (baby) teeth?

What is the primary focus of periodontal therapy, as indicated in the image below?

What is the primary goal of apexification, as indicated in the image below?

Which dental filling material is shown in the X-ray image below?

Identify this device

Identify the dental condition suggested by the image below, which may require endodontic intervention.

What does the image below represent in the context of dentistry?

Identify the dental instrument seen in the image

In the image, what type of dental restoration is commonly placed after completing an endodontic procedure on a posterior tooth?

Identify this instrument

In the image below, what is the purpose of the dental procedure being performed?

What term is associated with the procedure depicted in the image below, focusing on the removal of the apex of a tooth’s root during endodontic surgery?

What substance is This?

What is the term for the image below, where a dentist measures the space between the tooth and the surrounding gums to assess periodontal health?

Based on the image below, what is the primary objective of the dental procedure being performed?

What type of orthodontic appliance is shown in the image below?

In the image, what is the purpose of the dental instrument being used to remove calculus from the tooth surface?

What does the image below represent in the context of oral rehabilitation?

Identify the clear aligner system commonly used for nearly invisible orthodontic treatment.

What term is associated with the procedure in the image below, focusing on reshaping the gumline to improve the appearance of the teeth?

Identify the dental prosthesis commonly used for replacing missing teeth, as shown in the image below.

In orthodontics, what is the purpose of a power chain, as shown in the image below?

Identify the dental condition suggested by the image below, which may require periodontal therapy.

In the image below, what type of dental restoration is being performed to restore a tooth’s shape and function?

What is the term for the final phase of orthodontic treatment where a patient wears a device to maintain the corrected tooth positions?

In the image, what is the purpose of the dental instrument being used to remove plaque and calculus from below the gumline?
What term is associated with the image below?

Identify this orthodontic appliance

What term is associated with the dental procedure depicted in the image below, focusing on removing excess gum tissue to expose more of the tooth surface?

During oral rehabilitation, what dental procedure is commonly performed for replacing a missing tooth with an artificial root, as seen in the image below?

What is the purpose of orthodontic elastics, as shown in the image below?

Based on the image below, what is the primary objective of the dental procedure being performed?

What term is associated with the oral rehabilitation process depicted in the image below, involving the replacement of multiple missing teeth with a removable prosthesis?

What orthodontic appliance is this?

What does the image below represent in Endodontics?

. Identify the dental condition suggested by the image below, which may require oral rehabilitation.

Identify this orthodontic device used to correct an underbite by pushing the lower jaw forward.

Identify the instrument commonly used to clean and shape the root canals during an endodontic procedure.

In the image, what type of dental restoration is commonly used to cover a damaged or discolored tooth, enhancing its appearance in oral rehabilitation?

Only accepting 10 people total
Only people who sign up for Mastery Bootcamp will have access to my Bonus #1, 2 that are never for sale or available anywhere else other than through this program.
