0 of 50 Questions completed
Questions:
You have already completed the test before. Hence you can not start it again.
Test is loading…
You must sign in or sign up to start the test.
You must first complete the following:
0 of 50 Questions answered correctly
Your time:
Time has elapsed
You have reached 0 of 0 point(s), (0)
Earned Point(s): 0 of 0, (0)
0 Essay(s) Pending (Possible Point(s): 0)

What is the purpose of this small white disc in orthodontic treatment?

What type of treatment, often combined with cosmetic dentistry, can address wrinkles around the lips?

What is the purpose of the apex locator during root canal treatment?

What is the primary function of headgear in orthodontics?

What is the MOST important factor to consider when choosing a cosmetic dentistry procedure?

What is the role of gutta-percha in root canal treatment?

What is the purpose of elastics in orthodontic treatment?

What type of endodontic instrument is depicted in the image?

In the image below, what benefit does the dental microscope provide during root canal treatment?

What is a potential reason for extracting a tooth during orthodontic treatment?

What is the main function of the rubber dam in endodontics?

What is the purpose of the post placed in the tooth?

Based on the image below, what is the primary objective of the oral rehabilitation procedure being performed?

What is the main purpose of using a palatal expander in orthodontics?

Which step comes AFTER cleaning and shaping the root canals?


Which restorative material is MOST appropriate for this extensive cavity preparation?

What is a potential consequence of ignoring recommended retainers after orthodontic treatment?

What is the purpose of this endodontic instrument?

what is the final step after root canal treatment?

Which material is NOT recommended for lining this cavity before placing a composite restoration?

What type of orthodontic appliance is depicted in this image?

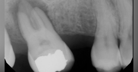
What does the radiograph show, indicating a potential need for root canal treatment?

What is the MOST likely cause of the discoloration seen in the picture?

What is the main benefit of monitoring orthodontic progress with X-rays?

What is the purpose of using a post and core in endodontics?

What is the MOST likely treatment for this periapical lesion?

What is the purpose of elastics in orthodontic treatment?

When might pre-procedural antibiotics be used in endodontics?

What is the BEST option for repairing the chipped veneer?

What is the MOST effective cosmetic dentistry procedure for addressing a gummy smile?

What is the MOST important advice for patients to follow after root canal treatment?

Which restorative material is depicted in the image?

What type of material is MOST likely used for repairing the chipped tooth in the image?

What is the purpose of using a temporary crown after root canal treatment?

What is the MOST likely diagnosis based on the radiographic findings?

What cosmetic dentistry procedure is depicted in the image?

What is the most likely reason for the swelling seen in the image?

What is the MOST likely indication for using the restorative material seen in the imag

What combination of cosmetic dentistry procedures might be used to achieve this result?

What is the most likely diagnosis based on the radiographic findings?

Which type of malocclusion is most likely present in this picture?

What cosmetic dentistry procedure is MOST suitable for replacing a missing front tooth?

What instrument is the dentist using, indicative of root canal treatment?

What is the MOST likely cosmetic dentistry procedure used to achieve such a dramatic transformation?

What is the MOST likely consequence of neglecting proper oral hygiene after cosmetic dentistry procedures?

What is the purpose of the rubber dam during a root canal procedure?

What is the main component of this type of orthodontic appliance that directly moves the teeth?

What cosmetic dentistry procedure is LEAST suitable for repairing the chipped and worn-down tooth in the image?

In the image what specific procedure is being conducted?

Only accepting 10 people total
Only people who sign up for Mastery Bootcamp will have access to my Bonus #1, 2 that are never for sale or available anywhere else other than through this program.
